이빨이 시린 경우에 확인해볼 사항, 치경부 마모증의 원인과 예방법

치경부 마모증, 치아가 시린 이유와 예방법
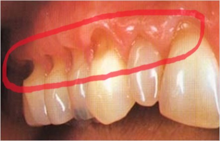
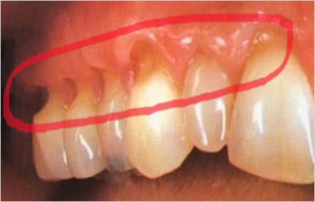
차가운 물을 마실 때나 양치를 할 때 치아가 심하게 시린 경험이 있나요? 이럴 때는 거울을 보면서 치아와 잇몸의 경계 부분을 확인해 보세요. 이 부분이 패였다면 치경부 마모증일 가능성이 큽니다. 치경부 마모증은 주로 잇몸이 노화하는 40대 이후에 흔하게 나타나지만, 최근에는 젊은 사람들에게서도 종종 관찰되고 있습니다. 오늘은 치경부 마모증의 원인과 예방법, 그리고 치료 방법에 대해 자세히 알아보도록 하겠습니다.

치경부 마모증이란 무엇인가?
치경부 마모증은 치아의 목 부분, 즉 치경부에 해당하는 치아와 잇몸이 만나는 경계 부위가 V자 모양으로 패이면서 발생하는 현상입니다. 이로 인해 치아가 시리고, 차가운 음식이나 음료를 섭취할 때 통증을 느낄 수 있습니다. 마모된 부위가 점점 더 커지게 되면 충치나 치아 파절 등 다양한 문제로 이어질 수 있어 조기 치료가 중요합니다.
치경부 마모증은 강한 양치질, 질긴 음식, 산성 음료 등 다양한 요인으로 인해 발생할 수 있습니다. 다음에서 이 세 가지 주요 원인에 대해 더 자세히 살펴보겠습니다.
치경부 마모증의 주요 원인
1. 강한 양치질 습관
치경부 마모증의 가장 큰 원인 중 하나는 잘못된 칫솔질 습관입니다. 많은 사람들이 치아를 깨끗하게 하기 위해 강하게 양치질을 하는데, 특히 수평 방향(좌우)으로 강하게 칫솔질을 하면 치아 목 부분이 점점 마모됩니다. 특히, 뻣뻣한 칫솔모를 사용하면 마모가 더 빨리 진행됩니다. 치아와 잇몸의 경계 부위는 상대적으로 약하기 때문에 강한 힘으로 지속적인 마찰을 주면 쉽게 마모될 수 있습니다.

2. 질긴 음식과 과도한 압력
질긴 음식이나 단단한 음식을 자주 씹는 것도 치경부 마모증의 원인 중 하나입니다. 오징어, 육포와 같은 음식은 씹는 과정에서 치아에 큰 부담을 주게 되는데, 특히 이갈이나 이를 꽉 무는 습관이 있다면 치아의 목 부분으로 과도한 힘이 전달되어 마모가 진행될 가능성이 큽니다. 이로 인해 치아 목 부분이 부분적으로 떨어져 나가게 되고, 시간이 지남에 따라 V자 형태의 홈이 점점 깊어지게 됩니다.
3. 산성 음료와 치아 마모
산과의 접촉도 치경부 마모증을 유발할 수 있습니다. 과일주스, 스포츠음료, 탄산음료와 같은 산성 음료를 자주 섭취하면 치아의 단단한 조직이 산에 의해 약해지고, 결국 마모가 발생합니다. 특히 위장장애, 섭식장애, 잦은 구토 등으로 치아가 위산과 자주 접촉하게 되면 치아 마모가 더욱 심해질 수 있습니다. 산은 치아의 법랑질을 약화시키고, 이로 인해 치경부가 마모되기 쉬운 상태가 됩니다.

치경부 마모증의 치료 방법
치경부 마모증은 초기 치료가 매우 중요합니다. 마모가 발생한 후에는 치아 안쪽의 상아질이 외부로 노출되는데, 상아질은 치아의 가장 단단한 바깥층인 법랑질에 비해 경도가 낮아 마모가 더 빨리 진행됩니다. 이렇게 되면 치아 내부의 신경조직과 가까워지게 되어 치아가 더욱 시리게 됩니다. 또한, 마모된 부위에는 음식물이 끼기 쉬워 충치가 생길 위험도 높아지며, 방치할 경우 치아가 부러질 수도 있습니다.

치경부 마모증의 치료는 마모 정도에 따라 다릅니다
- 경미한 마모: 마모가 크지 않고 증상이 경미한 경우에는 마모 원인을 제거하고, 치과에서 정기적으로 상태를 체크하는 것이 중요합니다.
- 뚜렷한 마모: V자 홈이 명확하게 형성된 경우에는 치아와 비슷한 색상의 복합레진이나 글라스 아이오노머 충전재를 사용해 패인 부위를 메꿉니다. 이렇게 함으로써 더 이상의 마모를 방지할 수 있습니다.
- 심각한 마모: 이미 마모가 심각하게 진행된 경우에는 신경 치료를 하고, 그 위에 크라운을 씌우는 방식으로 치료합니다. 이렇게 하면 치아를 보호하고 더 이상 문제가 발생하지 않도록 할 수 있습니다.
치경부 마모증 예방법
치경부 마모증을 예방하려면 올바른 양치질 습관과 생활습관을 유지하는 것이 중요합니다.
- 올바른 양치질 습관: 양치를 할 때는 수평이 아닌 수직 방향으로 치아 사이에 끼인 이물질을 빼낸다는 느낌으로 부드럽게 닦아야 합니다. 또한, 끝이 부드럽고 크기가 크지 않은 미세모 칫솔을 사용하는 것이 좋습니다.
- 질긴 음식과 산성 음료 자제: 질긴 음식이나 단단한 음식을 자주 씹지 않도록 하고, 산성 음료 섭취도 줄이는 것이 좋습니다. 만약 산성 음료를 마셨다면, 음료 섭취 후에는 물로 입을 헹궈 치아에 남은 산을 제거하는 것이 좋습니다.
- 정기적인 치과 검진: 치경부 마모증은 진행되기 전에 발견하고 치료하는 것이 중요하므로 정기적인 치과 방문을 통해 상태를 점검하는 것이 필요합니다. 특히 치경부 마모증 치료 후에는 시간이 지나면서 치료 부위가 변색되거나 충전재가 마모될 수 있으므로 주기적인 관리를 추천합니다.

건강한 치아를 위한 습관 만들기
치경부 마모증은 방치할 경우 치아에 큰 손상을 줄 수 있지만, 올바른 양치질과 생활습관을 통해 충분히 예방할 수 있습니다. 치아는 한 번 손상되면 되돌리기 어렵기 때문에, 평소 치아 건강을 위해 신경 쓰는 것이 매우 중요합니다. 차가운 음료나 양치질 시 치아가 시린 증상이 있다면, 조기에 치과를 방문하여 진단과 치료를 받는 것이 좋습니다. 치아 건강을 지키기 위해 오늘부터 올바른 양치질 습관을 실천해 보세요.